Thai phụ 26 tuổi này đang mang thai ở tuần thứ 34 khi cô đến bệnh viện để kiểm tra.
Trước đó, cô đã siêu âm 6 tuần trước và phát hiện có u nang buồng trứng nhưng không phát hiện ra cho đến tam cá nguyệt thứ ba.

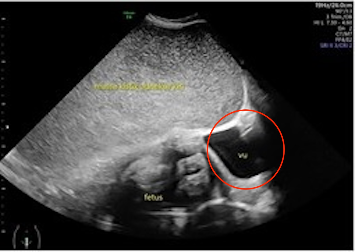
Những hình ảnh được chia sẻ bởi Need To Know cho thấy hình ảnh siêu âm khối u trước khi cắt bỏ.
Hình minh họa cho thấy vị trí của u nang, bao phủ một phần tử cung và đẩy sang một bên.
Sau lần khám bệnh thứ hai, các bác sĩ phát hiện thai nhi bắt đầu chậm phát triển – được cho là do u nang đẩy tử cung về phía bên phải bụng.
Bốn tuần sau, các bác sĩ đã tiến hành phẫu thuật cho người mẹ và phát hiện ra khối u khổng lồ xuất phát từ buồng trứng trái, chứa 11 lít dịch.
Một ca phẫu thuật lấy thai đã được thực hiện và bé trai nặng 5 pound (2.26kg) đã chào đời an toàn mà không có biến chứng nào.

Trong khi đó, các bác sĩ đã nghiên cứu khối u nang và phát hiện nó có đường kính 35cm và lành tính.
Thật khó tin, người mẹ - người được điều trị tại Bệnh viện Dr. Cipto Mangunkusumo ở Jakarta, Indonesia - đã hồi phục nhanh chóng và được xuất viện mà không có biến chứng nào.
U nang buồng trứng là ở trên bề mặt hoặc bên trong buồng trứng chứa tập hợp những tế bào và túi chứa dịch nhày.
U nang buồng trứng được chia làm 2 loại: u lành và u ác tính. U nang buồng trứng lành tính (chiếm đa số các trường hợp) cũng chia ra làm nhiều loại khác nhau, u nang buồng trứng dạng lạc nội tử cung thường do tế bào nội mạc tử cung dính vào buồng trứng tạo thành khối u hoặc các u bì, u nhầy, u quái buồng trứng hay các u nang thành dịch. Các loại u này sẽ có triệu chứng bị đau khi có viêm hoặc bị xoắn. U nang buồng trứng ác tính (ung thư buồng trứng) thường diễn biến rất cấp tính. Phần lớn các tế bào ung thư đều phát triển từ tế bào bình thường nhưng khi trở thành tế bào ung thư, chúng có sự khác biệt.
U nang buồng trứng dù lành tính hay ác tính nếu điều trị muộn đều có thể ảnh hưởng tới khả năng sinh sản. Trường hợp u lành tính, điều trị muộn cũng có nguy cơ gặp những biến chứng nhất định. Ví dụ khối u có thể bị xoắn hoặc bán xoắn, khối u bị vỡ, xuất huyết sẽ tạo ra những triệu chứng cấp tính như đau bụng quặn theo cơn, chảy máu trong ổ bụng phải mổ cấp cứu. U nang buồng trứng dạng lạc nội bào tử cung có thể dẫn tới viêm dính phần phụ, viêm dính tiểu khung và gây ra vô sinh. Vì vậy, khi phát hiện u nang buồng trứng thì chị em nên đi khám bác sĩ để có hướng điều trị sớm.
Minh Hoa (t/h)
Bé sơ sinh chào đời cùng khối u nang buồng trứng bị xoắn của người mẹĐỌC NGAY