Mới đây, Bệnh viện Sản Nhi Quảng Ninh mới đây tiếp nhận 2 trường hợp trẻ nhỏ phải nhập viện vì hóc dị vật nguy hiểm trong đường hô hấp.
Cụ thể, hai bệnh nhi là bé Đ.M.A (29 tháng tuổi) ở Khoái Châu (Hưng Yên) và bé N.N.L (25 tháng tuổi) trú tại phường Hà Lầm, Quảng Ninh.

Theo gia đình bé Đ.M.A, khoảng 4 ngày trước khi vào viện, trẻ xuất hiện tình trạng thở rít và khò khè tăng dần nên được đưa đi khám. Trong khi đó, bé N.N.L có biểu hiện ho nhiều đờm suốt một tuần, dù đã dùng kháng sinh nhưng không thuyên giảm nên gia đình đã đưa trẻ đến Bệnh viện Sản Nhi Quảng Ninh kiểm tra.
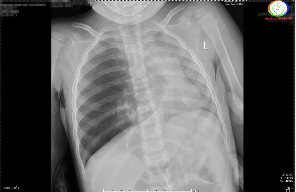
Kết quả chụp X-quang cho thấy các trẻ có hình ảnh ứ khí, mờ quanh rốn phổi. Riêng bệnh nhi N.N.L phổi trái giảm thể tích, kém sáng, xẹp phổi dạng dài thùy dưới phổi phải.
Các bác sĩ đã hội chẩn khẩn cấp và chỉ định nội soi khí phế quản cấp cứu gắp dị vật cho trẻ.
Trong quá trình nội soi, bác sĩ phát hiện tại phế quản gốc phải của bé N.N.L có một hạt lạc kích thước khoảng 0,5×0,7cm, gây bít tắc hoàn toàn đường dẫn khí. Còn ở bé Đ.M.A, dị vật nằm cách dây thanh khoảng 3cm, là một mảnh xương cá kích thước 1,5×1cm, làm niêm mạc khí quản xung huyết, phù nề và tiết nhiều dịch. Cả hai dị vật đều được gắp ra an toàn nhờ kỹ thuật nội soi khí phế quản.

BS. Nông Văn Mạnh cho biết thời gian gần đây, số trẻ nhập viện vì hóc dị vật đường thở và đường tiêu hóa có xu hướng tăng.
Nhiều dị vật như hạt lạc, mảnh xương cá hoặc các thức ăn cứng, sắc nhọn có thể gây tổn thương niêm mạc, phù nề khí phế quản, thậm chí bít tắc đường thở, đe dọa tính mạng trẻ.
Các bác sĩ khuyến cáo, các bậc phụ huynh cần cẩn thận trong lựa chọn đồ ăn cho con, hướng dẫn con cách ăn để giảm thiểu các nguy cơ có vật cứng trong đồ ăn của trẻ, trong đó đặc biệt lưu ý lúc ăn :
– Lọc xương kỹ khi cho trẻ ăn cá, cho trẻ ăn từng miếng nhỏ và dạy trẻ nhai kỹ
– Hướng dẫn trẻ ăn chậm, không nuốt vội.
– Tránh cho trẻ nô đùa, mất tập trung khi ăn rất dễ hóc, sặc, nuốt nhầm thức ăn lớn, sắc nhọn như mảnh xương, hạt lạc, hạt trái cây….mà không để ý.
– Không nên cho các cháu bé chơi các loại đồ vật có kích thước nhỏ, sắc nhọn dễ làm cho các bé tò mò rồi bỏ vào miệng ngậm, nuốt làm các bé sẽ bị dị vật gây ra hậu quả đáng tiếc.
– Nếu nghi ngờ trẻ hóc dị vật, hãy ngừng cho trẻ ăn ngay, dỗ trẻ bình tĩnh, cố gắng xác định vị trí dị vật.
Để phòng tránh những sự cố tương tự, các bậc phụ huynh cần lưu ý:
- Luôn để mắt đến trẻ, đặc biệt là khi trẻ chơi đùa với các vật nhỏ.
- Để xa tầm tay trẻ các vật dụng nhỏ, sắc nhọn, các loại hạt, pin, đồ chơi có chi tiết nhỏ...
- Dạy trẻ không được tự ý nhét bất cứ thứ gì vào tai, mũi, miệng.
Khi phát hiện trẻ có dị vật trong tai, mũi, miệng, cần đưa trẻ đến cơ sở y tế gần nhất để được xử lý kịp thời, tránh tự ý lấy dị vật tại nhà.
Trúc Chi (t/h)
Bé trai 12 tuổi hét thất thanh, bố mẹ chạy vào thấy cảnh tượng "đáng sợ"ĐỌC NGAY