Người đàn ông 63 tuổi sốc nặng khi phát hiện mắc hai bệnh ung thư cùng lúc

Admin
Bệnh nhân nam, 63 tuổi, nhập viện trong tình trạng tiểu khó kéo dài. Qua thăm khám, bác sĩ chỉ ra người đàn ông này mắc đồng thời hai loại ung thư nguyên phát gồm ung thư phổi và ung thư tuyến tiền liệt.

Theo Bệnh viện Bạch Mai, nam bệnh nhân nhập viện trong tình trạng tiểu khó kéo dài. Qua thăm khám và thực hiện các kỹ thuật cận lâm sàng như chụp cắt lớp vi tính, cộng hưởng từ, xạ hình xương và đặc biệt là PET/CT, các bác sĩ phát hiện tổn thương tại tuyến tiền liệt cùng nhiều khối u ở phổi, tuyến thượng thận và xương.

Thách thức lớn nhất trong trường hợp này là xác định bản chất các tổn thương: đâu là khối u nguyên phát, đâu là di căn. Nếu chẩn đoán không chính xác, việc lựa chọn phương pháp điều trị có thể sai lệch, ảnh hưởng trực tiếp đến hiệu quả điều trị.

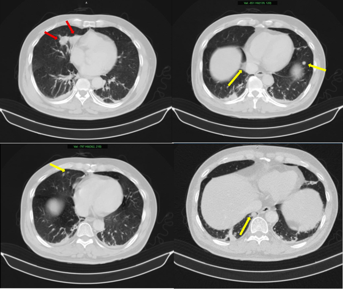
Người đàn ông 63 tuổi sốc nặng khi phát hiện mắc hai bệnh ung thư cùng lúc - Ảnh 1.

Hình ảnh 2 khối u bờ đa cung ở nhu mô thùy giữa phổi phải, dính vào màng phổi trung thất (mũi tên đỏ) kèm nhiều nốt đặc nhỏ rải rác nhu mô phổi hai bên (mũi tên vàng) gợi ý tổn thương thứ phát. Ảnh: BV Bạch Mai.

Tại viện kết quả sinh thiết và phân tích mô bệnh học kết hợp hóa mô miễn dịch giúp làm rõ: khối u phổi là ung thư biểu mô tuyến của phổi, trong khi khối u tuyến tiền liệt là ung thư biểu mô tuyến với điểm Gleason 9 - thuộc nhóm nguy cơ cao. Hai loại ung thư này có nguồn gốc hoàn toàn khác nhau, không phải di căn chéo.

Sau khi hội chẩn chuyên môn, các bác sĩ xây dựng phác đồ điều trị phù hợp, ưu tiên kiểm soát bệnh toàn thân. Cụ thể, bệnh nhân được chỉ định hóa trị ung thư phổi bằng phác đồ Pemetrexed kết hợp Carboplatin, đồng thời điều trị nội tiết cho ung thư tuyến tiền liệt bằng Degarelix.

Đáng chú ý sau 2-3 tháng điều trị, tình trạng bệnh nhân ổn định, các triệu chứng lâm sàng cải thiện, các chỉ số dấu ấn ung thư có xu hướng giảm, cho thấy đáp ứng điều trị bước đầu tích cực.

Người đàn ông 63 tuổi sốc nặng khi phát hiện mắc hai bệnh ung thư cùng lúc - Ảnh 2.Bé 2 tuổi tử vong sau khi ăn món "vạn người mê", bà ngoại ngã quỵ khi nghe bác sĩ chỉ mặt điểm tên thói quen "chết người"ĐỌC NGAY

Theo các chuyên gia, tình trạng đa ung thư nguyên phát đồng thì (Synchronous Multiple Primary Malignancies) là khi hai hoặc nhiều khối u ác tính xuất hiện độc lập trong thời gian ngắn. Mặc dù ung thư phổi và ung thư tuyến tiền liệt đều là những bệnh lý thường gặp ở nam giới, song việc cùng xuất hiện trên một bệnh nhân là tương đối hiếm.

Các bác sĩ cho biết, việc phân biệt ung thư nguyên phát với tổn thương di căn vô cùng quan trọng, không chỉ giúp lựa chọn đúng phác đồ điều trị mà còn góp phần nâng cao hiệu quả điều trị và chất lượng sống cho người bệnh.

Bên cạnh đó các chuyên gia khuyến cáo, với sự phát triển của y học hiện đại, ngày càng ghi nhận nhiều trường hợp mắc đa ung thư nguyên phát. Do đó, việc thăm khám định kỳ, phát hiện sớm và phối hợp đa chuyên khoa trong chẩn đoán, điều trị là yếu tố then chốt giúp kiểm soát bệnh hiệu quả.

Trúc Chi